Skip to Main Content
Press Releases
Event starts in:
00
DAYS
00
HRS
00
MINS
00
SECS
November 14
to
November 16, 2025
Colorado Convention Center
Denver, CO
MARKETPLACE
Exhibitor Directory
Gallery
Products
Press Releases
Show Specials
Videos
Login
Press Releases
Listings
Press Releases
Listings
Filter By
Favorites
Filter
Created
Created
Title
Random
Reviewed
Relevance
Youlify Launches Patient Responsibility Estimator To Stop Revenue Leakage At Check-In
#1655
Youlify
Explore
EXALTA Group Receives FDA 510(k) Clearance for New Anterior Cervical Plating System
#1335
EXALTA Group
Explore
Captiva Spine Announces FDA Clearance for Flat-Panel C-Arm Image Calibrators and AI-Assisted Registration for WatchTower Spine Navigation, Advancing E
#1237
Captiva Spine
Explore
OnPoint Surgical, Inc. Appoints Jeremy Laynor as Chief Commercial Officer to Accelerate Global Growth
#522
OnPoint Surgical
Explore
Youlify Raises $4.3M Seed Round to Fix Healthcare's $262B Billing Bottleneck With Generative AI
#1655
Youlify
Explore
Linkedin Post and Release
#737
SYNBONE
Explore
NICE Recovery Systems is an official sponsor of the Norwegian Ski Team
#708
NICE Recovery Systems
Explore
Snke Unveils SnkeXR, the First Medical Grade, Open Platform AR Glasses for Healthcare
#418
Snke XR
Explore
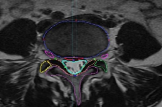
Automatic Segmentation of Lumbar Spine MRI Using Ensemble of 2D Algorithms
#1550
CoLumbo
Explore
Cerapedics Announces FDA Approval of PearlMatrix™ P-15 Peptide Enhanced Bone Graft, The First and Only Proven Bone Growth Accelerator for Lumbar Fusio
#1345, 1927
Cerapedics, Inc.
Explore
Browse Categories
Press Releases
86 Items
Products
161 Items
Show Specials
0 Items